
200+ 5-Star reviews
Comprehensive evaluation, X-rays, and a tailored treatment plan for just $89
If you move forward with treatment, you'll receive two free cleanings ($596 value)
Limited-time opportunity – get your smile back with a permanent solution
1,000+
Implants Placed
200+
5-Star reviews
34
Years of Experience
Can't pay for treatment all at once? No problem. We offer multiple payment plans so you can spread out the costs of care over time
Cherry
CareCredit
Sunbit



Why Choose Dental Implants?
Our practice uses AB Dental Implants, FDA-cleared devices that feature cutting-edge hydrophilic technology to significantly shorten healing time. Unlike traditional implants, AB Implants are treated with a Hydrosseo machine, enhancing their ability to attract fluids and promoting faster fusion with your bone—allowing you to enjoy your new teeth sooner.
The AB Implant Advantage:
Faster Results – Advanced technology reduces osseointegration time, so you heal quickly and can receive your permanent restoration sooner.
Same-Day Tooth Replacement – In many cases, we can extract a damaged tooth and replace it with an AB Implant during a single appointment.
Preserve Your Natural Smile – AB Implants protect surrounding teeth while preventing gum recession and bone loss.
No Downtime – Return to your normal routine immediately after your procedure with no swelling or discomfort.
Permanent Solution – Unlike dentures, AB Implants restore full function for comfortable biting and chewing.


Dr. Jose Marcano
Jose Marcano, DMD, leads the team at Orlando Center For Cosmetic Dentistry in Orlando, Florida. He is a talented general and cosmetic dentist dedicated to offering the highest level of care with a warm and friendly chairside manner.
Dr. Marcano is a graduate of the University of Pennsylvania and has over twenty years of experience in the dental field. He’s a member of the American Dental Association and the Florida Dental Association.
In addition to his experience, Dr. Marcano has taken numerous continuing education courses in laser and cosmetic dentistry. He has chosen to tailor Orlando Center For Cosmetic Dentistry towards a mostly “drill-free” cosmetic and restorative practice via the use of the Solea Co2 laser.
Dr. Marcano has a deep personal commitment to providing each patient with exceptional dental care, coupled with compassion, patience, and humor. His appreciation for patients’ comfort complements his understanding of complex reconstructive procedures. Dr. Marcano always works to address and allay the fears of those he treats.

Don't miss your chance to transform your smile and restore your confidence!




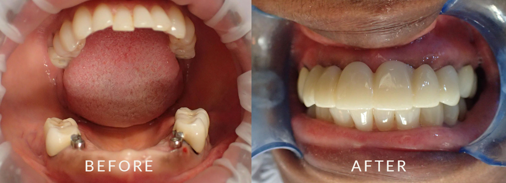
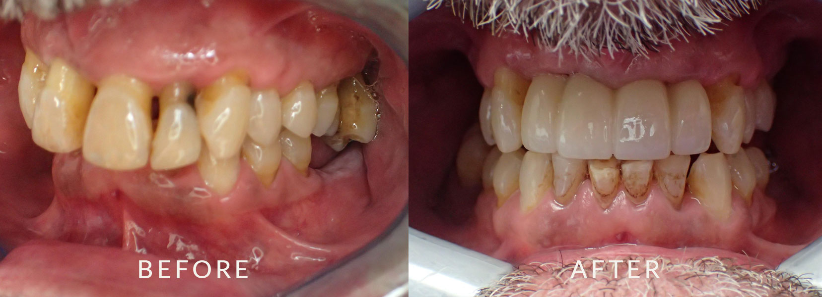
Unlike dentures, which can slip or cause discomfort, implants are securely anchored in the jaw bone, providing a natural feel and long-lasting solution. With proper care, implants can last for decades.
Dental implants do more than just replace teeth. They stimulate your jaw bone, just like a natural tooth root would. This keeps bone density alive and prevents the sunken look that can happen with missing teeth.
With implants, you can get back to smiling, laughing, and eating all your favorite food again. Implants are designed to look, feel, and function just like the rest of your natural smile.
We'll assess your oral health, discuss your goals, and use advanced 3D imaging to create your custom implant roadmap.
You'll leave with a clear understanding of your options, timeline, and costs.
When you lose a tooth, you also lose the roots that keep it in place. Your doctor will add a small, screw-like post made of titanium into your jaw bone.
This acts like the root of your missing tooth.
Over the course of several months, your jaw bone will grow around the titanium post, holding it firmly in place.
This will keep your jaw strong and prevent it from deteriorating over time.
After your jaw heals, your doctor will attach a new, custom-made tooth to the post — this is called a crown.
The crown will be shaped and colored to perfectly match your other teeth.
Jaw bone begins to weaken
Without a tooth root's stimulation, your jaw bone begins to shrink immediately after tooth loss. This can make future implant placement difficult or even impossible.
Teeth shift out of place
The gap left by your missing tooth allows surrounding teeth to move. This shift can complicate future implant placement and cause severe bit issues.
face will start looking older
Jaw bone loss can lead to a sunken facial appearance, making you look older than you are. Getting implants can help you maintain your youthful features for years to come.
Robert c.
"The staff was professional and friendly. While I was there to verify my implant was progressing as planned, DR Marcano was able to put in a temporary crown and fix a cavity."
Desiree
"Dr. Marcano is an awesome dentist. He is very knowledgeable, highly skilled and above everything friendly and honest. I recieved an entire mouth work up that included implants. His staff is super nice and I felt NO PAIN!!!"
Jennie R.
"Great experience with Dr.Marcano office. I had three front teeth being replaced with implants. The staff and Dr did amazing work! Very thankful I continued my dental care with them."
wESLEY j.
"Top of the line equipment, video screen, and Dr Marcano is sharp! Patient for almost 5 years. Cleanings, cosmetic fillings, and implant consultant are services I have used. Has early appts, even 730 am. Best pricing on ZOOM in all of o-town too! Also he has nitrous if you hate mouth shots like me. Hahaha"
Francésc b.
"Everything went smoothly. I never thought four implants could be placed in one hour. It didn't hurt at all."
nOEMI
"Everyone is welcoming. They make you feel like family. All the staff are very sweet & very professional. The Dr. does a wonderful job! Very nice environment! The Dr. And the techs are so patient with me & my son. I truly recommend Dr. Marcano to anyone who fears dentists.. Give it a try! You would be so happy!"
Get back to enjoying life with a complete smile.
Get back to enjoying life with a complete smile.
Powered by Wonderist Agency, WonderFunnels | Privacy Policy